6 Alternatives to Dental Fillings

Dental fillings in Toronto are commonly used to restore teeth with cavities, but they may not always be the best option for everyone. Depending on the severity of the damage, personal preference, and other factors, several alternatives to dental fillings may be a better fit for your oral health. At Dental Land in Summerhill, Ontario, […]
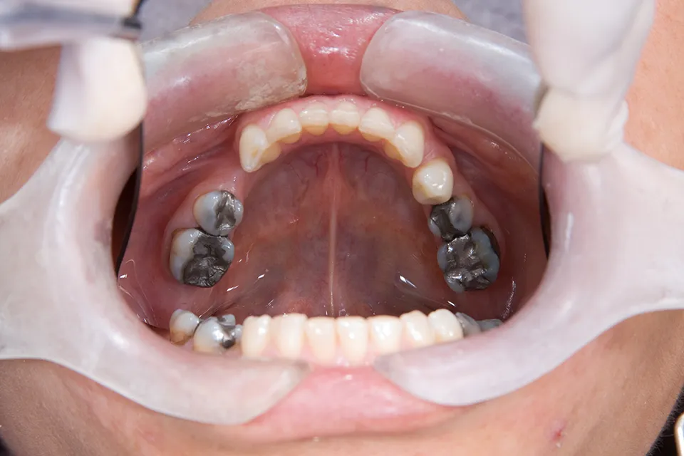
6 Types of Dental Fillings

Dental fillings play an essential role in maintaining good oral health. If you have a cavity or a damaged tooth, a filling can help restore its strength and function. Furthermore, Dental Land in Summerhill, Ontario, provides various types of dental fillings to meet your needs. This guide will examine the various types of dental fillings […]
The Best Material for Dental Fillings

Dental fillings are one of the most common and effective ways to restore damaged teeth and maintain good oral health. They protect teeth from further decay, ensure proper chewing function, and can even improve the appearance of your smile. However, deciding on the best material for dental fillings can be challenging with so many options […]
Unveiling the Magic of Dental Bonding: A Comprehensive Guide

Overview Welcome to Dental Land in Summerhill, Ontario, where your smile is our top priority! If you’ve ever hoped for a quick and effective solution to minor dental imperfections, dental bonding may be the solution you’ve been looking for. Furthermore, in this blog post, we’ll delve into the world of bonding, learning what it is, […]
Signs You Need a Dental Filling: Recognizing Tooth Decay

“Fill the Gaps, Preserve the Grin: Recognizing Tooth Decay, One Dental Filling at a Time!” Maintaining good oral health is vital for a confident and happy smile. Regular dental check-ups are critical in preventing and treating dental disorders like tooth decay. Dental fillings are a frequent approach for treating decay and protecting your teeth. In […]
The Bitter Truth: The Impact of Sugary Drinks and Snacks on Oral Health

Today, we’ll discuss a significant issue that affects oral health: the impact of sugary drinks and snacks. Although we all occasionally love indulging in sweet treats, it’s important to be aware of the possible damage they may do to our teeth. This blog post will discuss how excessive sugar consumption affects dental health to help […]